广州畅德科技有限公司
手机:13826179607
电话:(020) 84929627
邮箱:3391685169@qq.com
总部地址:广州市番禺区钟村镇钟屏岔道27号
佛山分部:佛山市顺德区陈村镇兴业路顺联机械城22号座华南理工大学国家大学科技园顺德创新园区404至405室

3D打印技术正在深入我们的生活,带来深刻的变化,尤其是在医疗行业的应用,发展速度迅猛。除了生物3D打印外,骨科、齿科、三维模拟及术前扫描等科目的应用也是层出不穷,总体上3D打印医疗应用发展呈现出三个方向:1.安全化,2.个性化,3.产业化。

畅德科技3D打印+精准医疗团队研究总结归纳,精准医疗3D 打印的过程大致分为 4 步:

第 1 步:图像获取,使用最多的是 CT 扫描图像,因为它应用广泛且具有足够的分辨率。
第 2 步:图像处理,即从医学影像 PACS 系统(Picture archiving and communication system)提取所需的部分进行后处理,包括计算机辅助设计 CAD(Computer-aided design),从而获得需要打印物体的表面信息,得到所需的 DICOM(Digital imaging and communications in medicine)格式的图像。
第 3 步:DICOM 转换 STL(Standard Tessellation Language)格式图像。STL 格式是 3D 打印机识别的格式。
第 4 步:3D 打印过程。
总结如下图:

3D 打印流程图

计算机辅助设计三维重建过程图
临床应用非常广泛且发展迅速,在外科手术指导,医学生技能教学方面发挥着非常重要的作用,未来随着 3D 生物打印技术的发展,期望实现人造器官,为广大患者带来福音。
临床应用举例:
1. 颌面部头颈外科手术指导:

上图为:依据患者影像 3D 打印出患者模型,清晰显示患者血管、神经情况
2 神经外科手术指导:

上图为:清晰还原患者鞍上肿瘤与血管关系,指导外科手术
3. 骨科手术指导:

上图为:依据患者 CT 图像打印的脊柱模型
4. 呼吸系统应用:

上图为:左图示 3D 打印患者气管走形,中图示模拟支气管镜镜下情况,右图示患者真实支气管镜情况
5. 心血管系统应用:

上图为:左图示腹主动脉瘤情况,右图示 3D 打印模型,指导腔内成形术应用

上图为:左图是患者动脉瘤 3D 打印模型,右图是该模型在数字血管剪影(DSA)下的支架释放过程
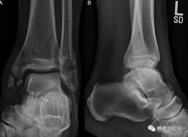
3D 打印指导骨科手术病例:

上图为:50 岁女性,车祸后出现左外踝疼痛,保守治疗不缓解

上图为:左图示该患者左足情况,提示腓骨距骨骨质移位,右图是患者右足正常关节间隙情况 。

上图为:计算机辅助设计手术方式

上图为:计算机设计结果,需要将腓骨小头向下、向前移位。

上图为:术中真实情况

上图为:术后复查
总结:1.成功的 3D 打印技术推广可以使患者获益,需要影像医生在图像获取后处理等方面提供技术与经验,同时与外科医生充分沟通,指导手术进行。在将来,该领域的广阔发展定会带来翻天覆地的变化。

2.影像医生扫描的二维图像进行三维重建数据对促进3D打印技术广泛运用于临床医学中,为患者提供个性化医疗服务,充分利用3D打印技术优势,为医疗人员提供手术前模拟实操训练实物支撑,提高手术精度及成功率,以科学技术提升和优化医疗服务,进一步加快3D打印技术在医疗领域的应用普及。
3.FDM 3D打印技术是精准医疗的术前模拟规划与验证成本最低的方式之一。具有打印设备与成型材料成本最低、环保、高效等特点,非常适合医院与医疗机构医学研究院校使用。

畅德品牌(畅印金刚Transpin)系列 3D打印机打印成型的高精度医疗骨骼模型(广州市番禺区某医院应用实例)

产品优势:Transpin系列 3D打印机是畅德科技秉承:创新驱动发展,智造改变未来的研发理念,采用一体化闭环传动架构、工业级滚珠丝杆与直线导轨,以及工业级模块化打印喷头等创新核心技术研发生产销售的3D打印机。具有稳定性强、高效、打印精度高、连续打印时间长、可打印多种材料的三维模型等特点。最高层厚打印精度高达0.05mm, 可连续不间断打印96小时以上,并具有断电续保护、暂停更换耗材续打功能,支持多种成型材料,可打印PLA/ABS/碳纤维/尼龙/软胶/PC/木线等材料。并采用全钣金机箱和铝合金机加件金属架构,全方位保障机器安全可靠运转及打印产品的质量,产品主要面向创客教育、工业设计、精准医疗、研发产品、模型制作等创新创业用户。






